Warning: include() [
function.include]: http:// wrapper is disabled in the server configuration by allow_url_include=0 in
/home/storage/c/2a/27/enscer/public_html/material/artigos/eina/deficiencias/micro.php on line
16
Warning: include(http://www.enscer.com.br/includes/menu_artigos.php) [
function.include]: failed to open stream: no suitable wrapper could be found in
/home/storage/c/2a/27/enscer/public_html/material/artigos/eina/deficiencias/micro.php on line
16
Warning: include() [
function.include]: Failed opening 'http://www.enscer.com.br/includes/menu_artigos.php' for inclusion (include_path='.:/opt/lc/php/5.3/share/pear') in
/home/storage/c/2a/27/enscer/public_html/material/artigos/eina/deficiencias/micro.php on line
16
Warning: include() [
function.include]: http:// wrapper is disabled in the server configuration by allow_url_include=0 in
/home/storage/c/2a/27/enscer/public_html/material/artigos/eina/deficiencias/micro.php on line
21
Warning: include(http://www.enscer.com.br/includes/menu_artigos_eina.php) [
function.include]: failed to open stream: no suitable wrapper could be found in
/home/storage/c/2a/27/enscer/public_html/material/artigos/eina/deficiencias/micro.php on line
21
Warning: include() [
function.include]: Failed opening 'http://www.enscer.com.br/includes/menu_artigos_eina.php' for inclusion (include_path='.:/opt/lc/php/5.3/share/pear') in
/home/storage/c/2a/27/enscer/public_html/material/artigos/eina/deficiencias/micro.php on line
21
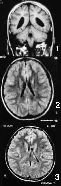
Microcefalia

A microcefalia
é caracterizada quando o diâmetro cefálico está
2 ou mais desvio padrões abaixo da média. Entretanto, pode-se
encontrar cérebros dentro desses padrões exibindo um QI normal.
A microcefalia decorre de uma produção baixa de neurônios
durante a embriogênese, que pode ou não estar associada a alterações
de estruturais.
As causas da microcefalia podem ser: genética ouinsultos por infecção,
toxicidade, problemas circulatórios, drogas, etc, que ocorrem durante
a gestação ou mesmo precocemente na vida pós-natal. Em
geral está associada a outras anormalidades cerebrais.
No exemplo 1 da figura, a microcefalia foi causada por Toxoplasmose, está
acompanhada de redução de substância branca e Hipoplasia
do Corpo Caloso. No exemplo 2, está associada a uma Assimetria
Ventricular, enquanto que no exemplo 3, aparece junto com Gliose.
Pode estar associada à Epilepsia,
bem como pode exibir ou não quadros de distúrbios motores. O
desenvolvimento da linguagem pode ser retardado e outras deficiências
podem estar associadas em função das outras lesões cerebrais
concomitantes.