Warning: include() [
function.include]: http:// wrapper is disabled in the server configuration by allow_url_include=0 in
/home/storage/c/2a/27/enscer/public_html/material/artigos/eina/deficiencias/magna.php on line
16
Warning: include(http://www.enscer.com.br/includes/menu_artigos.php) [
function.include]: failed to open stream: no suitable wrapper could be found in
/home/storage/c/2a/27/enscer/public_html/material/artigos/eina/deficiencias/magna.php on line
16
Warning: include() [
function.include]: Failed opening 'http://www.enscer.com.br/includes/menu_artigos.php' for inclusion (include_path='.:/opt/lc/php/5.3/share/pear') in
/home/storage/c/2a/27/enscer/public_html/material/artigos/eina/deficiencias/magna.php on line
16
Warning: include() [
function.include]: http:// wrapper is disabled in the server configuration by allow_url_include=0 in
/home/storage/c/2a/27/enscer/public_html/material/artigos/eina/deficiencias/magna.php on line
21
Warning: include(http://www.enscer.com.br/includes/menu_artigos_eina.php) [
function.include]: failed to open stream: no suitable wrapper could be found in
/home/storage/c/2a/27/enscer/public_html/material/artigos/eina/deficiencias/magna.php on line
21
Warning: include() [
function.include]: Failed opening 'http://www.enscer.com.br/includes/menu_artigos_eina.php' for inclusion (include_path='.:/opt/lc/php/5.3/share/pear') in
/home/storage/c/2a/27/enscer/public_html/material/artigos/eina/deficiencias/magna.php on line
21
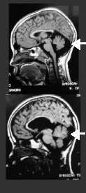
Macro Cisterna Magna

A Cisterna Magna
é um espaço na fossa posterior que recebe o líquido cerebrospinal
através do Foramen de Magendie. Embora seu alargamento tenha sido considerado
uma variante normal, hoje considera-se que está associado a distúrbios
do desenvolvimento cerebral, devido à sua associação
com problemas de neurodesenvolvimento.
Pode estar associada à alterações cerebelares, como
nos exemplos mostrados na figura. Como o Cerebelo
tem sido associado, também, a problemas de desenvolvimento cognitivo,
essa associação pode agravar a sintomatologia.