Foz, F. S. B.1,3; Rondó, A .G. 1 ; Rebello, M.P. 1; Rocha, A .F. 1,3; Ramazzini, P.B. 2 Cardoso, M.B. 2; Leite, C.C. 3
1 - Eina Estudos em Inteligência Artificial e Natural
Rua Tenente Ary Aps, 172 13.207.110 Jundiaí e-mail: eina@enscer.com.br
2 - APAE Jundiaí
Rua Dr. Francisco Telles, 475, Vila Progresso 13202-550
3 - INRAD e DIM Faculdade de Medicina USP
Av. Dr. Arnaldo, 453 - 01246-903 São Paulo
O presente trabalho descreve estudos de caso demonstrando a ocorrência de plasticidade neuronal demonstrada através da técnica de eletroencefalografia com auxílio do computador (Rocha, A.F.; et al., 1999). O EEG é uma técnica não invasiva que permite uma análise do funcionamento cerebral, sendo registrado durante e execução de tarefas cognitivas realizadas no computador. O presente trabalho relata dois casos de alocação dos circuitos de linguagem no hemisfério direito decorrentes de lesões congênitas do hemisfério esquerdo, e outro caso em que as funções lingüísticas permanecem alocadas no hemisfério dominante, quando de lesões semelhantes no hemisfério direito.
INTRODUÇÃO
A evolução das técnicas de MRI (magnetic resonance imaging); fMRI (functional magnetic resonance imaging); PET (positron emission tomography); SPECT (single photon emission tomography) e EEG (eletroencefalografia), permite hoje estudar funcionalmente o mecanismo da plasticidade neural.
O termo plasticidade neural tem sido utilizado em diferentes contextos. Assim, por exemplo, o termo pode ser utilizado para descrever:
O presente trabalho discute este último mecanismo em relação aos circuitos cerebrais envolvidos na compreensão e produção da linguagem.
A eletroencefalografia (EEG) é uma técnica não invasiva para registro da atividade elétrica cerebral, através de eletrodos colocados sobre o couro cabeludo do indivíduo (Fig. 1). Inúmeros trabalhos tem correlacionado a atividade cerebral assim registrada com a função cognitiva (e.g., King, Jonathan , Marta Kutas, 1998, Klimesch, 1999; Kong et al., 1999; Rocha, 1990; Rolcha et al, 1999; Wilson, Swain and Ullsperger, 1999).
A atividade elétrica cerebral associada a uma tarefa cognitiva pode ser estudada através da técnica da Atividade Relacionada a Eventos (ARE). A atividade elétrica cerebral registrada antes, durante ou após eventos associados à tarefa cognitiva, é promediada para todas as ocorrências desse evento durante o teste a que o indivíduo é submetido Por exemplo, a atividade elétrica associada a apresentação de sons verbais, é promediada para todos os eventos de apresentação de informação verbal durante um teste de compreensão verbal. A análise dessa atividade promediada ou ARE permite o estudo dos mecanismos neurais envolvidos na realização da tarefa em estudo.
Dessa maneira, por exemplo, mostrou-se que vários componentes do ARE refletem diferentes processamentos do material verbal (pe, Garret, 1995; Neville, 1995; Mehler and Crhistophe, 1995; Posner and Pavese, 1998). Componentes precoces que aparecem com uma latência menor que 200 ms, principalmente sobre áreas frontais, parecem relacionar-se melhor com a análise da estrutura sintática da frase, enquanto componentes mais tardios (latência maior ou igual a 400 ms) parecem refletir mais uma análise semântica e predominarem mais sobre regiões posteriores. Além disso, a ARE tem mostrado interações complexas entre os hemisférios esquerdo e direito (e.g., Rocha, 1990).
Mais recentemente, Rocha et. al., 1999 desenvolveram uma técnica de mapeamento cerebral a partir do estudo de AREs obtidas para as diversas derivações do EEG e associadas a eventos específicos de uma tarefa cognitiva. Esses autores mostraram que esses mapas, aqui chamados MAREs, evidenciam tanto as principais áreas envolvidas no processamento das diversas etapas de uma tarefa, como também as associações mais importantes que se estabelecem entre essas áreas durante cada uma dessas etapas.
A técnica da Ressonância Nuclear Magnética, mais conhecida como MRI (do inglês, Magnetic Ressonance Image) permite um estudo da estrutura cerebral do indivíduo normal e tem sido amplamente aplicada tanto com propósitos diagnósticos como experimentais. Essa técnica permite uma localização precisa das lesões estruturais existentes em um cérebro lesado.
A associação da MRI e do MARE permite o estudo estrutural e funcional do cérebro humano em diversas situações patológicas. No presente trabalho, essas técnicas serão utilizadas para os estudo da plasticidade neural associadas ao processamento verbal, em crianças portadoras de lesões cerebrais congênitas.
Estudou-se, nesse trabalho três indivíduos - dois do sexo feminino - portadores de lesões cerebrais, confirmadas pela MRI, e associadas à deficiência mental (Qis < 70), conforme avaliada pelo teste Stanford-Binet. Utilizou-se video-jogos (Fig. 1) para estudar a atividade elétrica cerebral dessas crianças, associada à compreensão da linguagem.
|
|
Fig. 1 O registro do EEG durante a execução de um jogo
Utilizou-se dois computadores (Fig. 1) para a obtenção dos MAREs: um deles para a aquisição e registro dos sinais eletroencefalográficos e o outro para apresentação dos video-jogos. Os dois computadores operaram em rede, de modo a permitir a sincronização da aquisição do EEG com os eventos associados às distintas fases dos video-jogos. Utilizou-se o sistema 10/20 para colocação dos eletrodos, e a aquisição do EEG foi feita a uma freqüência de 256 Hz e com uma precisão de 10 bits. Um dos pesquisadores explicou a situação experimental para as crianças e acompanhou execução dos jogos. Todas as sessões experimentais foram gravadas em videotape.
|
|
|
| Charadas |
Associação |
Fig. 2 Os video-jogos para obtenção dos MAREs
| |
|
|
|
1 |
2 |
3 |
4 |
| |
|
|
|
5 |
6 |
7 |
8 |
| |
|
|
|
9 |
10 |
11 |
12 |
Fig. 3 A história para avaliação
Após a realização do experimento, o EEG é processado, para obtenção dos MAREs associados (Rocha et al., 1999) aos diversos eventos de dois jogos:
|
|
|
| Ordenação |
memória |
|
|
|
| Interpretação |
reconstrução |
Fig. 4 O jogos de avaliação
As crianças foram, também, submetidas a uma avaliação funcional da sua capacidade lingüística, que consistiu na:
No jogo de ordenação a criança deve ordenar um conjunto de cenas de acordo com a história apresentada. Para isso, clica sobre as cenas apresentadas na ordem que julgarem reproduzir a história ouvida.
No caso do jogo de memória, as mesmas frases associadas as cenas que compõem a história, são apresentadas em ordem aleatória; seguida da apresentação de 5 cenas da história, para que ele associe as frases à cena correta. É um jogo semelhante ao de associação utilizado para obtenção de MAREs.
No jogo de interpretação, uma pergunta do tipo: quem, como, quando, o que, ... é feita ao indivíduo durante a apresentação de uma cena da história. O indivíduo deve então selecionar a figura pequena que corresponda a resposta à pergunta feita.
Finalmente, no caso do jogo de reconstrução, o indivíduo tem à sua disposição todas as figuras utilizadas para contar a história, e deve usá-las para recontá-la. Para isso seleciona seqüencialmente as figuras, e faz um relato verbal associado à sua escolha. No caso, por se tratarem de indivíduos não alfabetizados, a examinadora escrevia o texto para a criança enquanto esta fazia seu relato.
A análise de cada criança foi complementada pelo estudo da sua estrutura cerebral feito com o auxílio das imagens obtidas por ressonância nuclear magnética.
Foram mínimos os erros cometidos pelos três indivíduos nos jogos ordenação, memória, interpretação e reconstrução. Os indivíduos ARM e KTG cometeram apenas um erro na escolha de cenas no jogo de memória, e o indivíduo WA confundiu dois personagens femininos na escolha do sujeito em um dos jogos de interpretação. Nenhuma das crianças cometeu erros no jogo de ordenação, e todas elas mostraram uma boa capacidade de reconstrução da história, conforme mostra a tabela I.
A criança WA foi aquela que utilizou um relato mais complexo, com uma estrutura frasal relativamente preservada, porém, omitindo artigos e preposições. Interrelacionou corretamente as figuras escolhidas, com exceção da colocação da cena 5 após a seqüência das cenas 6;7;8. Porém, associou a descrição correta à cena deslocada. A cena 8, embora colocada na seqüência correta, ficou fora da sua história. WA resgatou a história conservando os elementos principais e incluindo aspectos de sua vivência pessoal (a praça é nossa/referente ao programa de TV, pano para se referir ao tecido e nota de dez reais cédula que apareceu na atividade de interpretação). Apresenta uma emissão com alterações articulatórias, as quais não comprometeram a compreensão da história relatada. O fato marcante é a não utilização das palavras funcionais.
A criança ARM escolheu as cenas da história conservando a seqüência original, omitindo apenas a cena 9, o que não comprometeu o sentido e seqüência de seu relato. Utilizou palavras isoladas ou estruturas frasais bastante simplificadas ao recontar a história. Usou também aspectos de sua vivência (um real/trabalha em sala de aula com compra e venda, onde atualmente tem usado a cédula de um real), utilizou loja para banco e roupa para tecido, mostrando que busca um vocabulário relacionado ao contexto. Sua emissão oral a nível articulatório é prejudicada, apresenta além de trocas fonêmicas, redução de palavras, ecolalia e esteriótipos do tipo hum; não, utilizando-os como apoio à sua emissão oral. O fato marcante, portanto, é uma grande dificuldade de fonação.
KTG utilizou todas as 12 cenas oferecidas, trocando três de lugar (na primeira seqüência 1; 3; 4; 2, e na terceira 9; 10; 12; 11 solicitando nesta seqüência que a examinadora retomasse parte da história) como ilustrada na tabela I. Utilizou, ao relatar a história, uma estrutura mais descritiva e repetitiva (ela indo...), centrada na ação representada na cena, não respeitando, em algumas situações, concordância verbal. Inclui elementos como artigos e preposições construindo assim frases completas. Variou entonação de seu relato, representando inclusive a fala da personagem. Quanto à sua emissão oral a nível articulatório apresenta alterações de característica mais culturais, omitindo por exemplo o arquifonema {R} em final de palavras. O fato marcante é a modificação da ordenação da cenas utilizadas e uma descontinuidade no relato, caracterizada pelas frases do tipo ela indo ..., com referência específica à cena associada.
Na tabela I transcreve-se as histórias relatadas eliminando as trocas articulatórias, porém mantendo a estrutura frasal e as concordâncias utilizadas pelas crianças.
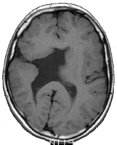
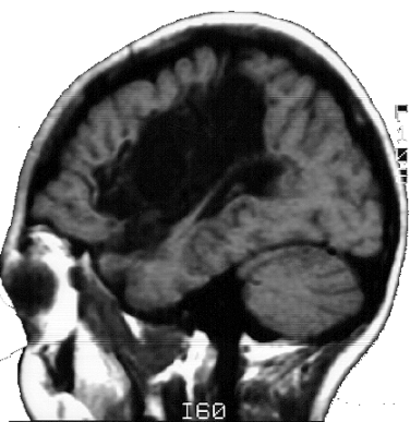
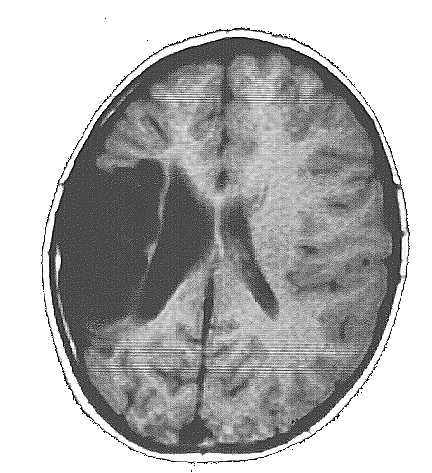
As crianças ARM e KTG são portadoras de lesões cerebrais denominadas Esquizencefalia (Fig. 5 e 6), que são decorrentes de distúrbios no processo embriogênico, que ocorrem no primeiro trimestre da gravidez. As lesões no indivíduo ARM se localizam no lobo frontal esquerdo e incluem também a ausência do septo pelúcido. Já a criança KTG tem as lesões localizadas no lobo parietal direito e também mostra sinais de comprometimento do hipocampo direito.
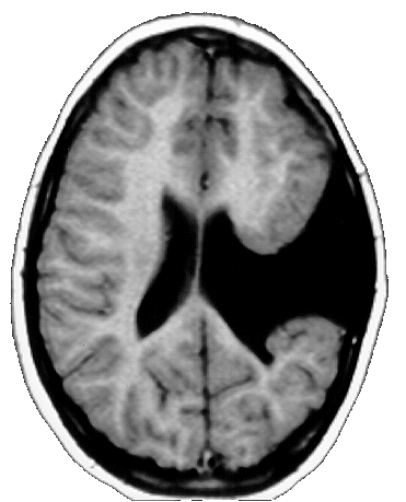
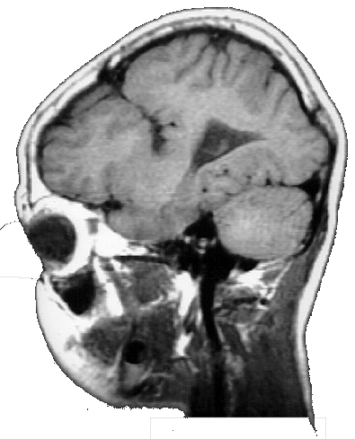
As lesões do indivíduo WA são do tipo Leucomalácia Multicística e se localizam principalmente no lobo parietal esquerdo. As lesões decorreram de problemas anóxicos perinatais, causados por problemas que a mãe experimentou alguns dias antes do parto. WA e ARM são canhotos e hemiplégicos à direita, e apresentaram atraso no desenvolvimento psicomotor. KTG é destra e tem hemiplegia à esquerda, apresentou também, atraso do desenvolvimento psicomotor.
Os MAREs na fig. 5 são aqueles correlacionados com a apresentação das charadas para os indivíduos WA e ARM. Os correspondentes MAREs para KTG estão na Fig. 6. A média da duração total das frases de cada charada é de 4 segundos. Calculou-se, para cada indivíduo, dois MAREs correspondentes, respectivamente, aos 2 segundos iniciais (primeira parte na fig. 5) e os 2 segundos finais (segunda parte) de cada charada.
Os MAREs para o jogo de associação são compatíveis com os jogos de charadas e por motivo de espaço não são mostrados aqui.
A. R. M.
| FIG. 1 |
FIG. 2 |
FIG. 3 |
FIG. 4 |
| FOI LOJA |
FOI CARRO |
FOI IGREJA |
FOI PRAÇA |
| FIG. 5 |
FIG. 6 |
FIG. 7 |
FIG. 8 |
| BANCO
|
FOI NA LOJA PEGAR UM REAL |
FOI |
CASA |
| FIG. 10 |
FIG. 11 |
FIG. 12 |
- |
| LOJA COMPROU ROUPA |
UM REAL |
FOI EMBORA |
W.A.
| FIG. 1 |
FIG. 2 |
FIG. 3 |
FIG. 4 |
| MARIA FOI CIDADE COMPRAR PANO FAZER ROUPA |
MARIA ACHOU LUGAR COLOCAR CARRO |
AÍ É A PRAÇA NOSSA TODO MUNDO DESCANSA |
DAÍ CHEGOU IGREJA |
| FIG. 6 |
FIG. 7 |
FIG. 8 |
FIG. 5 |
| JOANA FOI BANCO TIRAR DINHEIRO |
JOANA FOI TIRAR NOTA DEZ REAL |
AÍ É RUA CIDADE |
AÍ É O BANCO TIRAR DINHEIRO |
| FIG. 9 |
FIG. 10 |
FIG. 11 |
FIG. 12 |
| A MARIA JOANA FOI COMPRAR PANO FAZER ROUPA |
O PANO TÁ TRÊS REAL |
JOANA PAGOU DEZ REAL DAÍ 6 CENTAVOS |
MARIA COMPROU PANO... COMPRAR PÃO NA CASA |
K. T. G.
| FIG. 1 |
FIG. 3 |
FIG. 4 |
FIG. 2 |
| ELA INDO COMPRANDO O TECIDO |
ELA INDO PRA IGREJA |
O VOVÔ PAROU NA PRACINHA PRA DESCANSAR |
ELAS ESTACIONANDO O CARRO |
| FIG. 5 |
FIG. 6 |
FIG. 7 |
FIG. 8 |
| ELA IA CHEGANDO NO BANCO
|
ELA ENTRANDO NO BANCO |
ELA IA TIRAR DINHEIRO DO BANCO |
E DEPOIS IA COMPRAR O TECIDO E NA CIDADE |
| FIG. 9 |
FIG. 10 |
FIG. 12 |
FIG. 11 |
| JÁ CHEGOU NA LOJA |
JÁ CORTOU TA CORTANDO |
JÁ ACABOU IA INDO PAGAR AQUI ELA LEMBROU: TENHO QUE COMPRAR PÃO |
ELA FALOU JÁ VOU PAGAR. |
Tabela I Reconstrução da história pelos sujeitos A.R.M., K.T.G. e W.A.
A tabela faz referência às cenas da história utilizada pelos sujeitos e mostra o texto produzido por eles, associado à cada uma das figuras.
|
|
A.R.M. 11 a.Esquizence-faliaLobo Frontal |
|
|
|
|
|
|
|
W.A. 12 a.Leucomalácia Multicística
Lobo Parietal |
|
|
|
|
|
| primeira parte |
segunda parte |
Fig. 5 Lesões no hemisfério esquerdo
As áreas mais envolvidas com o processamento da informação verbal aparece em cor vermelha em cada MARE, enquanto que as derivações que registraram uma atividade cerebral menos correlacionada ao processamento do som verbal aparecem em negro. A localização dos eletrodos é mostrada na figura de referências central.
Os MAREs de todos os indivíduos mostram uma atividade cerebral coerente com a lesão encontrada nas correspondentes MRIs. Assim, por exemplo, ARM tem uma lesão frontal esquerda na MRI, que está associada á um silêncio funcional nas derivações frontais esquerda nos seus MAREs (Fig. 5). Já o indivíduo WA tem uma lesão que se localiza predominantemente no lobo parietal esquerdo, que está associada a uma ausência de atividade nas derivações C3 e P3 nos seus MAREs mostrados na fig. 5. Finalmente, a lesão de KTG se localiza principalmente no lobo parietal direito, que se reflete nos correspondentes MAREs, por uma diminuição da ativação, principalmente, nas derivações P4 e T6.
Os MAREs associados ao processamento verbal no indivíduo ARM mostra uma ativação intensa nas derivações frontotemporais direitas, tanto no início como no final da apresentação da charada. Na fase inicial da apresentação do som, ocorre ativação nas derivações FZ e CZ.
|
|
K.T.G 10 a. Esquizence-faliaLobo Parietal |
|
|
|
charadas |
|
| primeira parte |
segunda parte |
Fig. 6 Lesão no hemisfério direito
Um padrão semelhante de ativação cerebral é observado também no indivíduo WA. Outra vez, o processamento do som verbal está associado a uma ativação das derivações frontoparietais direitas. Entretanto, observa-se também uma ativação em algumas derivações frontais esquerda. O fato marcante é a aparente redução da atividade nas regiões temporoparietais esquerdas.
O quadro eletroencefalográfico de KTG associado ao processamento verbal é totalmente distinto daqueles registrados nos indivíduos ARM e WA. Aqui observa-se uma ativação maior nas derivações F7, T3 e C3, no hemisfério esquerdo, durante as primeiras frases das charadas. Esta atividade se reduz um pouco na fase final da charada. Durante as duas etapas observa-se uma ativação de áreas frontais direitas, mas nunca das regiões temporoparietais do hemisfério direito.
Sabe-se, hoje, que várias áreas distribuídas sobre o córtex temporal e frontal estão envolvidas com o processamento da linguagem. Propõe-se, por exemplo, que os sons verbais ativariam a área de Wernicke localizada no lobo temporal esquerdo (Fig. 7), onde seria iniciada uma análise verbal das palavras constituintes das frases ouvidas pelo indivíduo. Neurônios da área de Wernicke trocariam informações com outros neurônios localizados na área de Broca, através do fascículo arcuado. Esta área localizada no lobo frontal, foi inicialmente associada ao controle da fonação.

Fig. 7 As áreas neurais relacionadas com a linguagem
Entretanto, sabe-se hoje (e.g.; Gabrieli, 1997; Münte et al, 1997; Pinker, 1995; Price et al., 1997; Rocha, 1999; Swaab et al, 1997) que neurônios da região de Broca estão envolvidos na análise dos verbos contidos na frase. De acordo com esses achados, propõe-se que a análise de uma frase se inicia pelo reconhecimento do verbo, realizado por neurônios da área de Broca, que recebem informações da áreas de Wernicke no caso do som verbal ou do giro angular quando a frase está codificada visualmente. O intercâmbio entre as áreas frontais e temporoparietais se faz através do fascículo arcuado.
A criança ARM tem uma lesão que compromete extensamente seu lobo frontal esquerdo, mostrando uma hemiplegia à direita e dificuldades de fonação. Sua lesão afeta também o fascículo arcuado, de modo que as áreas temporais esquerdas estão isoladas do pouco córtex frontal esquerdo que restou nesse indivíduo.
Apesar do extenso comprometimento neural, ARM é capaz de uma boa compreensão da linguagem falada, como mostra o seu bom rendimento nos jogos de ordenação, memória, interpretação e reconstrução. Ouvida a história, a criança foi capaz de entendê-la e reconstruí-la. O maior problema se relaciona com sua dificuldade de fonação. É um indivíduo que evita falar, e quando pressionada, utiliza frases de construção elementar, com poucos elementos. Mas, parece que isso decorre de sua dificuldade de fonação e não de compreensão.
Corroborando esses achados, os MAREs apresentados na fig. 5, mostra uma boa ativação de áreas frontotemporais no hemisfério direito, quando do processamento da informação verbal no jogo de charadas. Parece, portanto, que a capacidade lingüística dessa criança é suportada pela ação do hemisfério não dominante. Aceita essa premissa, os MAREs mostrados na fig. 5 para esse indivíduo, demonstram claramente um alocação da função verbal no hemisfério direito; isto é, mostram um caso típico de plasticidade neural induzida por uma lesão congênita. Outros autores, por exemplo Graviline et al., 1998; reportam o sucesso de realocação de funções com a precocidade da lesão.
As lesões de WA comprometem fundamentalmente o lobo parietal e parte do lobo frontal esquerdos. Mais uma vez, o fascículo arcuado parece estar lesado. Outra vez, tem-se o isolamento entre o lobo temporal e as áreas frontais no hemisfério esquerdo. WA é uma criança que tem uma hemiplegia direita e dificuldades articulatórias. Entretanto, é também capaz de uma boa compreensão da linguagem falada, comprovada pelo seu bom rendimentos nos jogos de ordenação, memorização, interpretação e reconstrução. Um fato marcante em sua linguagem é a ausência do uso das palavras funcionais: artigos, preposições, etc. Esse fato está de acordo com o comprometimento córtex frontal esquerdo observado neste indivíduo (pe, Pinker, 1995; Rocha, 1999).
Os MAREs apresentados na fig. 5 para o indivíduo WA, mostram claramente uma redução da atividade nas derivações temporoparietais esquerda, compatível com a lesão estrutural observada na MRI. Uma vez mais, há um isolamento do lobo temporal em relação ao frontal, no hemisfério esquerdo. Outra vez, observa-se uma compensação desse isolamento, por um aumento do envolvimento do hemisfério direito no processamento da informação verbal.
As lesões de KTG se restringem ao hemisfério direito. Nesse caso, a participação do hemisfério esquerdo no processamento verbal fica claramente demonstrada nos MAREs apresentados na fig. 6. KTG é capaz de uma boa compreensão da linguagem, como demonstra seu bom rendimento nos jogos de linguagem. A pobreza de seu uso da linguagem expressiva está relacionado ao sua deficiência mental. Aliás, a inclusão de KTG nesse trabalho tem por finalidade apresentar um padrão de comparação para as crianças ARM e WA, também portadoras de deficiência mental. Dessa maneira, pode-se ressaltar que a plasticidade neural é a responsável pela capacidade de linguagem nessas duas crianças, e que a eventual pobreza do uso da linguagem que elas fazem, está mais associada à uma menor capacidade de processamento cerebral, devido à sua deficiência mental, do que às lesão específicas das áreas verbais do hemisfério esquerdo.
REFERÊNCIAS
GARRET, M. The structure of language processing: Neuropsychological evidence. In The Cognitive Neuroscience, (M. S. Gazzaniga, ed.), A Bradford Book, The MIT Press, Massachsets, 1995:881-899
GAZZANIGA, M. S. - "Collaboration between the hemispheres of a callosotomy pacient. Emeriging right hemisphere speech and the left hemisphere interpreter", in Brain 1996, 119, 1255-1262
GRAVELINE, C. J. - "Regionalized Sensoriomotor Plasticity After Hemispherectomy fMRI Evaluation", in Pediatric Neurology 1998 vol. 19 No. 5, 337-342,
KING, J. W.; CANIS, G. and KUTAS, M. "Potential Asymmetries in Language Comprehension: In search of the electrical right. In Right Hemisphere Language Comprehension", Beemand and Chiarello (Eds), Laurence Erlbaum Associates, New Jersey, 1998
KING, J. W.; KUTAS,M. - "Neural Plasticity in the human visual word recognotion", Neuroscience Letters 1998, 244: 61-64
KLIMESCH,W. EEG alpha and theta oscillations reflect cognitive and memory performance: a review analysis.
KONG,J.; WANG,Y.; SHANG,H.; WANG,Y. ; YANG, X. and ZHUANG,D. Brain potentials during mental arithmetic-effects of prolem difficulty on event-related bain protentials. Neuroscience Letters, 1999, 260:169-172
MÜNTE, T.F.; MATZKE, M.; JOHANNES, S. Brain Activity Associated with Syntactic Incongruencies in Words and Pseudo-Words, 1997, 9:318-329.
MEHLER, J. and CRHISTOPHE, A . Maturation and learning of language in the first year of life. In The Cognitive Neuroscience, (M. S. Gazzaniga, ed.), A Bradford Book, The MIT Press, Massachsets, 1995:943-954
NEVILLE, H. Developmental specificity in neurocognitive development in humans. In The Cognitive Neuroscience, (M. S. Gazzaniga, ed.), A Bradford Book, The MIT Press, Massachsets, 1995:219-231
NISHIMURA, H. "Sign language heardin the auditory cortex", in Nature january 1999, vol 397 116
PINKER, S. The language instinct. HarperPerinnial , 1995
POSNER, M. and PAVESE, A . Anatomy of word and sentence meaning. Proc. Ntal, Acd. Sci, 1998, 95:899-905
PRINCE, C.J.; MOORE, C.J.; HUMPHREYS, G.W.; WISE, R.J.S. Segregation Semantic from Phonological Processes during Reading, 1997, 9:727-733
ROCHA, A. F.; M. P. R. LAGINHA; D. SIGULEN and M. S. ANÇÃO - Declarative and Procedural Knowledge: Two Complementary Tools for Expertise, in Approximate Reasoning Tools for Artificial Intelligence, Verdegay and Delgado (Eds), Verlag Tuv Rheinland, 1990:229-253
ROCHA, A. F. - NEURAL NETS: A theory for brains and machine. Lecture Notes in Artificial Intelligence, Springer-Verlag, 1992.
ROCHA, A. F. O CÉREBRO: Um breve relato de sua função. EINA, Jundiaí; 1999
ROCHA, A. F., A. B. SERAPIÃO; A. RONDÓ, E. C. RODELLA; F. LUCHINI; M. P. REBELLO, Correlating Intelligence and Brain Activity. Proc. 6th Ann. Meeting Cognitive Neurosciences Society, 1999, Washington, D.C.
SWAAB, T.; BROWN, C. and HAGOORT, P. Spoken Sentence Comprehension in Aphasia: Event-related Potential Evidence for a Lexical Integration Deficit. 1997, 9:39-66
WAGNER, A . D.; DESMOND, J. E.; DEMB, J.B.; GLOVER,G.H. and GABRIELE, J.D.E. Semantic Repetition Priming for Verbal and Pictorial Knowledger: A Functional MRI Study of Left Prefrontal Cortex, 1997, 9:714-726
WILSON,G. L.; SWAIN,C.R. and ULLSPERGER, P. EEG power chantes during a multiple level memory retention tasl. Int. J. Psychophysiology, 1999, 32:107-118